

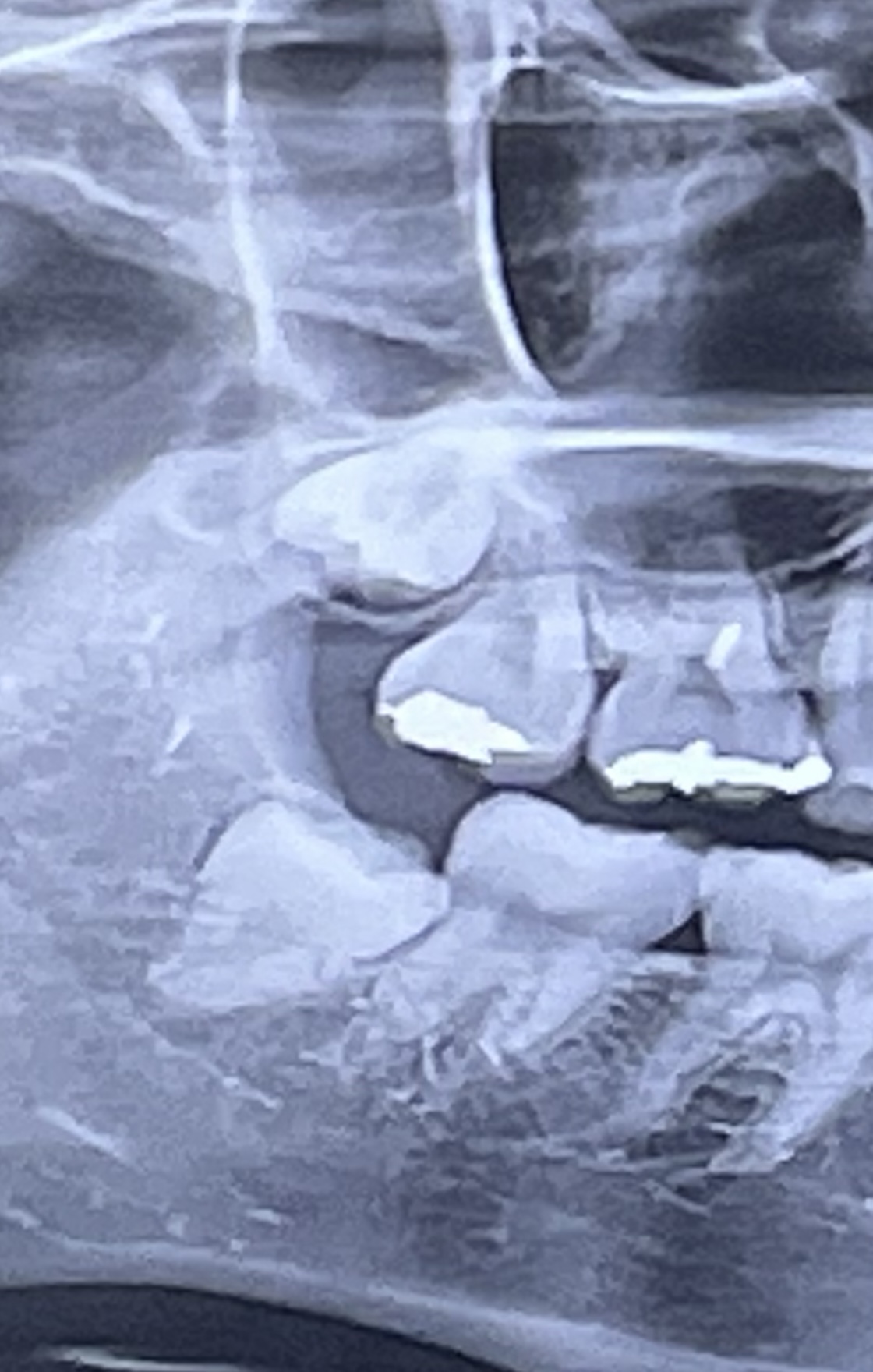
교정 끝난뒤 몇년 됐는데 윗니가 돌출이 되는것같아
다른 치과를 가봐서 사진찍었는데 성장기쯤에 아랫 사랑니를 뺏어야 했다고 하더라고 처음들어보는말인데
아래사랑니가 치아를 양쪽으로 눌러서 아랫니가 균형이안맞아
윗니도 나오는거라하더라고
아프지도않고 막 나오지도않았는데
사랑니 빼본덬들이나 아는덬들도 빼야하는게좋을까?
뭔가 아파야 빼야한다고 알았는데 내가 매복 사랑니라니
좀 무섭지만・・・
안아팠는데 나같은 케이스중에 뺀덬있으려나


교정 끝난뒤 몇년 됐는데 윗니가 돌출이 되는것같아
다른 치과를 가봐서 사진찍었는데 성장기쯤에 아랫 사랑니를 뺏어야 했다고 하더라고 처음들어보는말인데
아래사랑니가 치아를 양쪽으로 눌러서 아랫니가 균형이안맞아
윗니도 나오는거라하더라고
아프지도않고 막 나오지도않았는데
사랑니 빼본덬들이나 아는덬들도 빼야하는게좋을까?
뭔가 아파야 빼야한다고 알았는데 내가 매복 사랑니라니
좀 무섭지만・・・
안아팠는데 나같은 케이스중에 뺀덬있으려나