
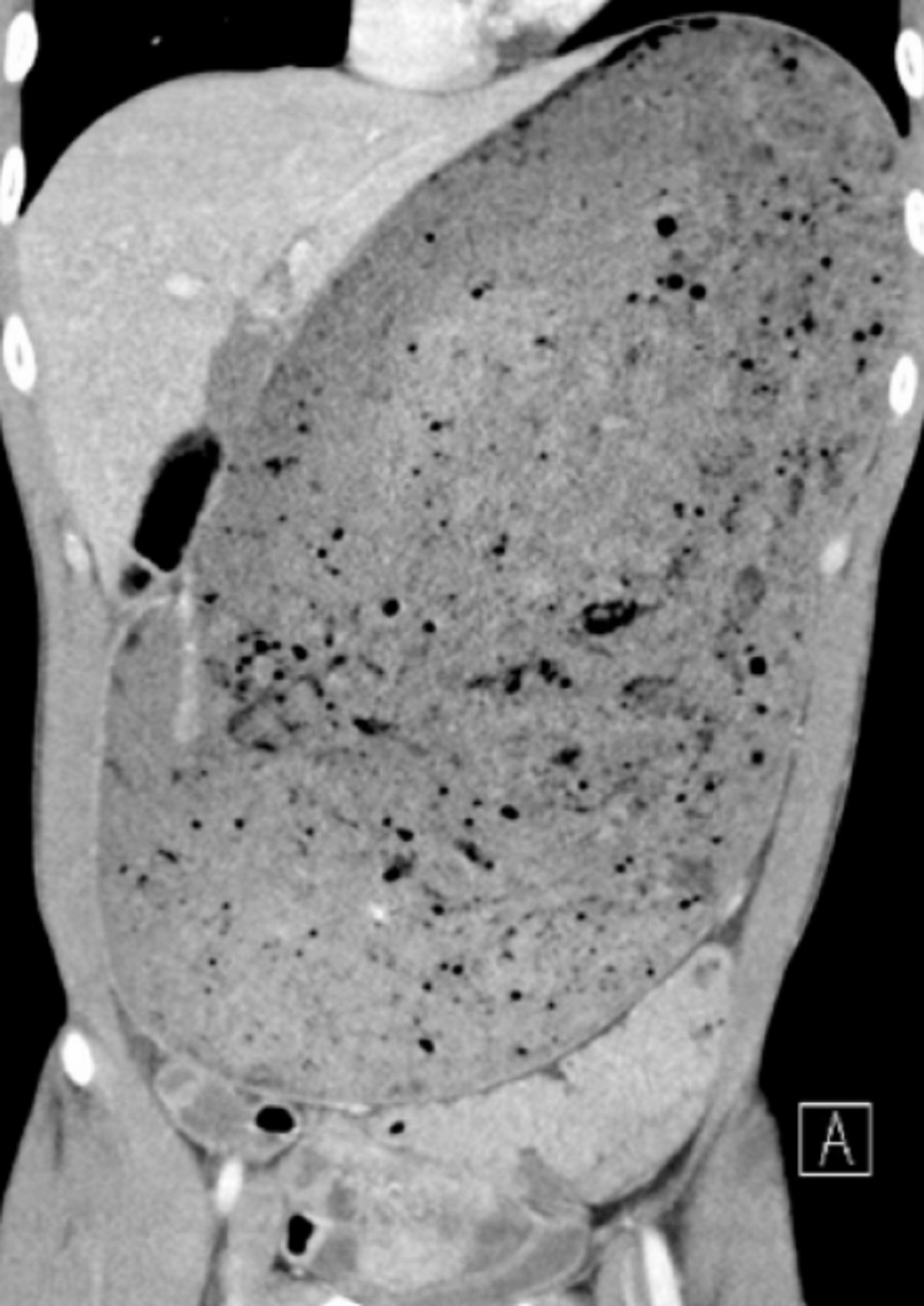
싱가포르 국립대 응텡펑 종합병원 외과 의료진에 따르면, 30세 건강한 남성이 햄버거를 빨리 먹는 대회에서 단 30분 만에 3kg에 달하는 양을 섭취했다. 몇 시간 후 그의 배가 부풀어 오르기 시작했고, 구토와 함께 통증을 느꼈다. 곧바로 응급실에 실려 간 남성은 소화되지 않은 물질로 배가 가득했고, 위는 심각하게 늘어났다. 이에 주변 장기인 췌장 역시 으스러진 것을 발견했다. 의료진은 “이렇게 위가 너무 많이 늘어나면 혈류가 차단돼 파열을 유발할 수 있다”며 “또 소화되지 않은 음식물이 복부로 누출돼 감염이나 장기 부전의 위험까지 일으킬 수 있다”고 말했다. 실제 남성의 CT 사진에는 갓난아기 크기만큼 위의 상부에 음식이 꽉 차 있던 것을 확인할 수 있었다. 의료진은 위 세척을 수행했고, 다행히 가스가 배출되기 시작하면서 체내에 있던 음식들이 이동해 그는 5일 후 퇴원할 수 있었다.
(중략)
폭발적인 과식은 만성적이지 않더라도 그 자체로 위험하다. 위는 원래 크기보다 몇십 배 정도 늘어날 수 있다. 과도하게 많은 음식을 섭취해 위가 커지면 소장 등 복부 장기와 횡격막에 압박이 가해진다. 이로 인해 호흡이 힘들어지고 하대정맥 등 복부에 있는 혈관이 눌려 혈류가 흐르기 어려워지면서 소‧대장이 괴사할 수도 있다. 게다가 폭식은 한번 시작하면 멈추기도 힘들다. 뇌 속 쾌락 중추가 활성화해 쾌감을 지속적으로 강화하는 중독 회로가 작동하기 때문이다. 게다가 이로 인해 도파민 등이 활성화하면 장과 위에서 그만 먹으라는 신경전달물질을 보내도 무력화된 채 계속 먹게 된다.
이 사례는 ‘위장병학 저널’에 게재됐다.
https://naver.me/FHlEFqbu