메뉴 건너뛰기

기사/뉴스 단순 두통 아니었다…뇌 속 살아있는 ‘기생충’ 원인은 이 음식
17,702 37
2025.01.03 10:37
17,702 37

https://naver.me/GsjLToRp

  • 서울대병원 신경외과 백선하 교수와 순천향대서울병원 신경외과 박혜란 교수 공동 연구팀은 스파르가눔증 기생충 감염으로 서울대병원에 내원한 40대 여성 환자의 병변을 정밀하게 진단하고 개두술을 통해 살아 있는 기생충을 성원본보기

서울대병원 신경외과 백선하 교수와 순천향대서울병원 신경외과 박혜란 교수 공동 연구팀은 스파르가눔증 기생충 감염으로 서울대병원에 내원한 40대 여성 환자의 병변을 정밀하게 진단하고 개두술을 통해 살아 있는 기생충을 성공적으로 제거했다고 밝혔다. 사진은 수술로 제거된 기생충의 모습. 서울대병원

국내 의료진이 뇌종양으로 오인됐던 희귀 기생충 감염을 규명하고 제거 수술에 성공했다. 환자는 과거 오염된 연못 물과 익히지 않은 야생 동물 고기, 생선을 섭취한 경험이 있었던 것으로 확인됐다.

지난달 30일 서울대병원 백선하 신경외과 교수와 순천향대서울병원 박혜란 신경외과 교수 공동 연구팀은 스파르가눔증 감염으로 발생한 뇌 병변을 성공적으로 진단·치료했다고 밝혔다. 이 연구 결과는 미국 신경학회 저널인 Neurology에 게재됐다.


스파르가눔증은 기생충 유충이 체내에 침투해 혈류를 타고 뇌로 이동하며 발생하는 드문 감염 질환이다. 주로 오염된 물을 마시거나 익히지 않은 야생 동물의 고기 또는 생선을 섭취할 때 감염된다. 감염 초기에는 두통과 구토 증상을 보이다 시간이 지나면 발작, 시야 결손, 감각 이상 등 심각한 신경학적 문제로 이어질 수 있다.

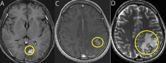
이번 사례는 극심한 두통과 구토로 서울대병원을 방문한 40대 여성 환자에서 시작됐다. 당시 자기공명영상(MRI)에서 뇌 좌측 후두엽에서 병변이 발견돼 뇌종양으로 오인됐다. 의료진은 수술을 권유했지만 환자는 증상이 일시적으로 호전되자 치료를 거부하고 퇴원했다.

초기 뇌 MRI에서 좌측 후두엽에 조영증강된 종괴가 관찰된 모습. 8개월 뒤 다시 촬영한 뇌 MRI에서 좌측 두정엽에 새롭게 조영증강된 종괴의 모습. 좌측 두정엽 종괴 주변에 심한 뇌부종이 동반된 모습. 사진=서울대원본보기

초기 뇌 MRI에서 좌측 후두엽에 조영증강된 종괴가 관찰된 모습. 8개월 뒤 다시 촬영한 뇌 MRI에서 좌측 두정엽에 새롭게 조영증강된 종괴의 모습. 좌측 두정엽 종괴 주변에 심한 뇌부종이 동반된 모습. 사진=서울대병원

7개월 후, 환자는 극심한 두통과 전신 발작으로 병원을 다시 찾았다. 추가 MRI 검사에서는 병변이 좌측 두정엽으로 이동한 것이 확인됐다. 병변이 이동하는 점은 기생충 감염의 대표적인 진단 단서로, 의료진은 효소결합면역흡착검사(ELISA)를 통해 스파르가눔증 항체를 확인했다.

결국 환자는 개두술을 통해 살아 있는 기생충을 제거했다. 수술 중 발견된 기생충은 뇌 조직에서 살아 움직이는 모습이 영상으로 기록되며 학계에 보고됐다.

백 교수는 “MRI에서 병변이 이동하는 경우 기생충 감염 가능성을 반드시 고려해야 한다”며 “오염된 물을 피하고 고기나 생선을 충분히 익혀 먹는 것이 예방의 핵심”이라고 강조했다

댓글 37
댓글 더 보기
새 댓글 확인하기

번호 카테고리 제목 날짜 조회
이벤트 공지 ♥️더쿠X태그♥️ 노세범 메쉬쿠션 체험단 30인 모집! 180 05.25 15,017
공지 [공지] 언금 공지 해제 24.12.06 5,212,165
공지 📢📢【매우중요】 비밀번호 변경 권장 (현재 팝업 알림중) 24.04.09 12,489,315
공지 공지가 길다면 한번씩 눌러서 읽어주시면 됩니다. 23.11.01 13,165,407
공지 ◤더쿠 이용 규칙◢ [스퀘어 정치글은 정치 카테고리에] 20.04.29 35,802,214
공지 정치 [스퀘어게시판 정치 카테고리 추가 및 정치 제외 기능 추가] 25.07.22 1,125,017
공지 정보 더쿠 모바일에서 유튜브 링크 올릴때 주의할 점 785 21.08.23 8,578,288
공지 정보 나는 더쿠에서 움짤을 한 번이라도 올려본 적이 있다 🙋‍♀️ 272 20.09.29 7,487,310
공지 팁/유용/추천 더쿠에 쉽게 동영상을 올려보자 ! 3624 20.05.17 8,699,864
공지 팁/유용/추천 슬기로운 더쿠생활 : 더쿠 이용팁 4022 20.04.30 8,586,243
공지 팁/유용/추천 ◤스퀘어 공지◢ [9. 스퀘어 저격판 사용 금지(무통보 차단임)] 1236 18.08.31 14,548,179
모든 공지 확인하기()
3078753 이슈 우지에 파개장 스타일 더한 '삼양1963 큰컵 우지파개장' 출시 11:56 40
3078752 유머 워너원 황민현 옹성우 아웅다웅챌린지 11:56 43
3078751 기사/뉴스 [단독] HMM, 부산으로 본사 주소 이전…"직원 이동 시기는 미정" 2 11:54 329
3078750 정치 [속보]이 대통령 “해수부·HMM 이어 동남권에 공공기관·기업 추가 이전 신속 추진” 11:53 141
3078749 기사/뉴스 “골프공이 밭으로 날아든다”…영월 삼옥리 주민들, SM동강시스타 골프장 피해 집단 반발 4 11:52 238
3078748 이슈 크라운제과, '빅파이 제주레몬허니' 출시…30만갑 한정 판매 8 11:51 708
3078747 이슈 영국 프로축구계 아시아 패싱이 드러나는 상황에서 한남들이 꾸준히 언급하고 있는 아시아 패싱 5 11:49 1,045
3078746 이슈 질투때문에 20년 동안 아내에게 말 한마디 안한 남편 in 일본 40 11:47 2,328
3078745 이슈 멋진신세계에서 티카타카 좋은 조합 9 11:47 908
3078744 유머 정신과 약 먹지 말라고 조언하는 디시인 8 11:46 1,789
3078743 기사/뉴스 대구오페라하우스 20년 만의 정비…공연은 대구 전역에서 11:45 237
3078742 기사/뉴스 [단독]SH공사, ‘종묘 앞 재개발’ 국가유산청 이행명령 처분 취소 소송 제기···“처분 불합리” 주장 11 11:44 625
3078741 이슈 치열하게 갈린다는 금발파와 흑발파.jpgif 2 11:44 615
3078740 기사/뉴스 케데헌 ‘골든’, AMA ‘올해의 노래’ 수상 10 11:43 479
3078739 이슈 [2026 AMAs] 대상 ARTIST OF THE YEAR (올해의 아티스트) 방탄소년단 145 11:43 1,817
3078738 기사/뉴스 JYP 신사옥 앞 개발부지 유찰… 선거 이후 재분양 나설 듯 16 11:42 912
3078737 이슈 To. 케이팝 외국팬들에게 (dear k-pop fans) 6 11:42 994
3078736 이슈 [KBO] KIA 타이거즈가 26일 한국야구위원회(KBO)에 아시아쿼터 내야수 제리드 데일의 웨이버 공시를 신청했습니다. 10 11:41 661
3078735 정치 선고 앞둔 김건희 ‘바쉐론’ 시계값 2900만원 이체 1 11:41 491
3078734 이슈 실시간 곱버스 가격 근황 ㄷㄷㄷ 30 11:39 3,809