
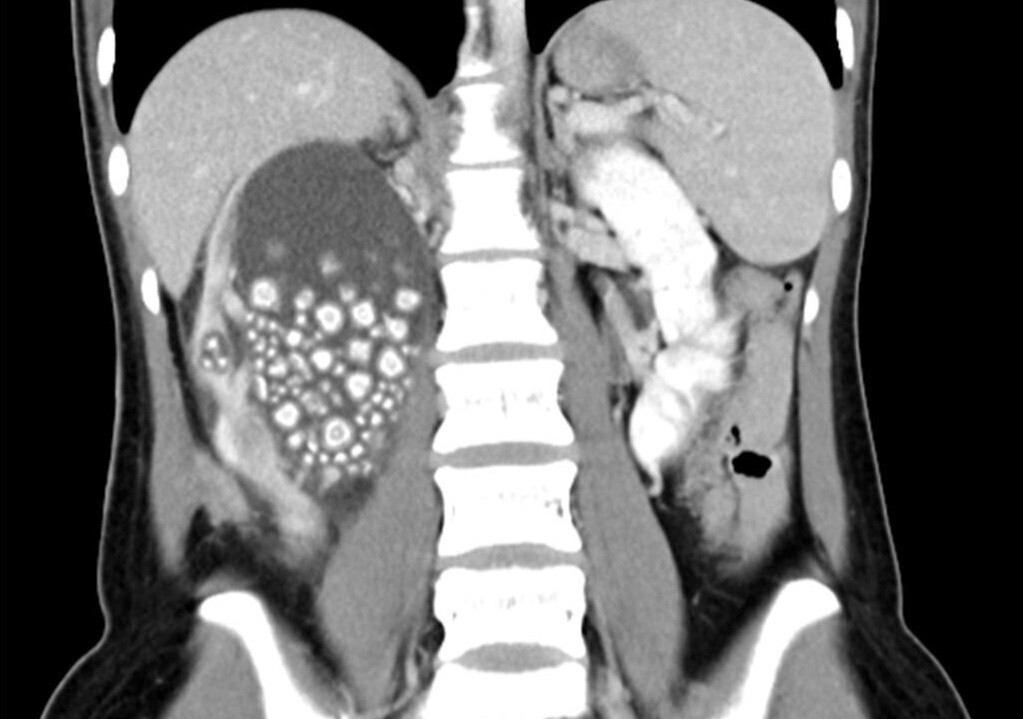
타이난의 한 20세 여성이 최근 300개가 넘는 신장 결석을 제거하는 수술을 받았습니다.
보도에 따르면 샤오위(小玉)로 확인된 이 여성은 지난 주 허리에 심각한 통증과 함께 열이 나기 시작해
타이난의 치메이 병원에 입원했다고 ET투데이가 보도했습니다.
엑스레이를 통해 그녀의 신장은 수백 개의 작은 신장 결석으로 부풀어 있었습니다.
이 여성은 물을 마시는 것을 좋아하지 않았고,
수분을 공급하기 위해 정기적으로 설탕이 든 차와 찻잔의 주스를 선택했다고 합니다.
이것은 만성적인 탈수와 그녀의 신장에 미네랄이 축적되는 결과를 가져왔습니다
치메이 병원의 비뇨기과 의사들은 사람들이 설탕, 소금, 칼슘과 같은 물질을 충분히 섭취할 수 있도록 하기 위해 물을 충분히 마실 것을 촉구합니다. 타이난의 젊은 여성은 적절한 수분 부족과 건강하지 못한 식습관의 위험성을 보여주는 극단적인 예입니다.
결석사진나와유
