메뉴 건너뛰기

정보 (잇몸주의) 잇몸 보이는 미소 "원인 따라 치료 필요"
7,720 8
2016.07.27 16:11
7,720 8
29_540_99_20160727160505.jpg?type=w540
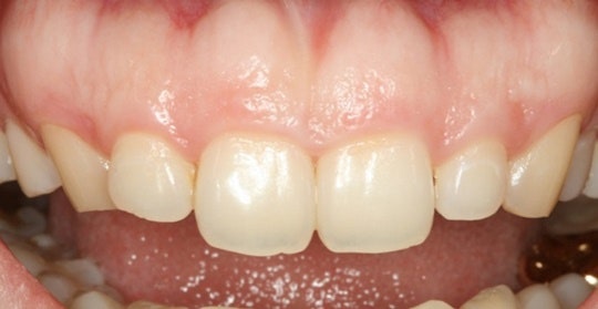
밝고 환한 미소는 아름답지만, 웃을 때 잇몸이 많이 드러나면 놀림을 받기도 한다. 실제 이러한 '잇몸미소'가 콤플렉스로 작용해 치과를 찾는 사람들이 늘어나고 있다. 잇몸미소는 웃을 때 위 앞니 부위 잇몸이 3mm 이상 보일 때로 정의할 수 있다.

27일 연세대 치과대학병원에 따르면 잇몸미소를 치료하기 위해 내원한 환자들은 지난 2011년 63명에서 2014년 113명으로 해마다 꾸준히 늘다 지난해 71명으로 조금 줄었지만, 올해 7월까지 41명으로 다시 오름세이다.

지난 5년간 잇몸미소를 치료하기 위해 내원한 429명의 환자 중 여자가 383명으로 남자보다 8배 이상 많았다. 일반적으로 20~30대에서 약 10% 정도가 잇몸미소를 지으며, 특히 여성에게 많다.

잇몸미소는 발생 원인에 따라 치료가 요구된다. 잇몸이 치아를 많이 덮고 있으면 치태로 잇몸이 붓거나, 치아가 나오면서 잇몸이 치아 뿌리 쪽으로 이동하는 과정이 사라져 잇몸미소가 생길 수 있다.

이럴 땐 적절한 위생관리와 치은절제술 등 잇몸성형수술로 치료할 수 있다. 잇몸성형수술은 국소마취로 진행되며, 통증이 거의 없다. 상태에 따라 뼈를 제거하는 수술이 필요할 수 있지만, 대부분 30~40분 정도의 수술 후 바로 일상으로 복귀할 수 있다.

위턱뼈가 많이 성장한 경우엔 방사선 촬영으로 진단한다. 성장 정도가 심하지 않으면 잇몸성형수술이나 치아교정을 통해 치료하고, 위턱뼈가 심하게 성장했다면 악교정수술도 고려할 수 있다. 인중이 짧거나, 웃을 때 인중이 많이 올라가서 잇몸미소가 나타나면 윗입술의 움직임에 관여하는 근육을 절제하거나 경우에 따라 보톡스 주사로 치료할 수 있다.

연세대학교 치과대학병원 치주과 정의원 교수는 “예쁘다는 것은 주관적인 가치지만 단순히 예쁘다는 것을 넘어 자존감을 회복할 수 있는 것도 치료의 한 종류”라며 “잇몸미소는 다양한 원인이 있는 만큼 올바른 진단으로 자신에게 맞는 치료를 받아야 한다”고 말했다.

배민철 기자 (mcbae2000@kormedi.com)
목록 스크랩 (0)
댓글 8
댓글 더 보기
새 댓글 확인하기

번호 카테고리 제목 날짜 조회
이벤트 공지 🩵더쿠X유세린🩵 유세린 이븐래디언스 브라이트닝 부스터 세럼 체험단 50인 모집 403 03.09 58,157
공지 [공지] 언금 공지 해제 24.12.06 4,962,437
공지 📢📢【매우중요】 비밀번호 변경 권장 (현재 팝업 알림중) 24.04.09 11,923,992
공지 공지가 길다면 한번씩 눌러서 읽어주시면 됩니다. 23.11.01 12,956,955
공지 ◤더쿠 이용 규칙◢ [스퀘어 정치글은 정치 카테고리에] 20.04.29 35,260,293
공지 정치 [스퀘어게시판 정치 카테고리 추가 및 정치 제외 기능 추가] 25.07.22 1,064,929
공지 정보 더쿠 모바일에서 유튜브 링크 올릴때 주의할 점 782 21.08.23 8,510,974
공지 정보 나는 더쿠에서 움짤을 한 번이라도 올려본 적이 있다 🙋‍♀️ 268 20.09.29 7,428,058
공지 팁/유용/추천 더쿠에 쉽게 동영상을 올려보자 ! 3600 20.05.17 8,640,610
공지 팁/유용/추천 슬기로운 더쿠생활 : 더쿠 이용팁 4016 20.04.30 8,520,103
공지 팁/유용/추천 ◤스퀘어 공지◢ [9. 스퀘어 저격판 사용 금지(무통보 차단임)] 1236 18.08.31 14,407,496
모든 공지 확인하기()
3016877 기사/뉴스 KT스튜디오지니X오크컴퍼니, BL드라마 ‘하절기→검사실의 제안’ 제작 07:06 136
3016876 기사/뉴스 [단독]류승완 감독 새 영화 ‘베테랑3’ 첫 촬영 연기 8 07:01 1,354
3016875 이슈 10년 전 오늘 발매된_ "덕수궁 돌담길의 봄" 1 06:45 328
3016874 정보 신한플러스/플레이 정답 3 06:37 157
3016873 이슈 [WBC]이번 국대 야구가 반응이 유독 감동적인 이유 10 06:33 2,147
3016872 유머 고양이를 생각하며 쓴 3글자로 사람 울컥하게 만들기 9 06:33 1,031
3016871 유머 니가 무슨 집을 지킨다고 3 06:26 1,325
3016870 유머 유튜브 조회수 5346회인 이 노래를 몇 명이나 아는지 궁금해서 써보는 글...jpg 14 06:10 1,518
3016869 유머 우아한형제들이 누구길래 늦은밤에 그것도 여러번 내 카드를 사용한거야???????!!!!!!!!!?!?!?!?!?!?!?! 7 06:08 2,818
3016868 이슈 코어층 진짜 확실하다는 음식...jpg 3 06:05 2,919
3016867 정치 10개월 전 예언 "이재명 대통령이 만약에 당선이 된다면 아주 조심해야 될 사람도 몇 명 있습니다. “ 31 05:33 3,408
3016866 이슈 경상남도 진주 출신덬들 ㄴㅇㄱ되는 소식.jpg 9 05:26 3,749
3016865 이슈 알고리즘 장악한 봄동 비빔밥 끝장 레시피 14 05:26 3,039
3016864 이슈 미국에 있다는 한옥스타일 주택 9 05:14 3,423
3016863 이슈 87,000원 꼬리찜 9 05:07 1,973
3016862 유머 새벽에 보면 이불 속으로 들어가는 괴담 및 소름썰 모음 176편 3 04:44 303
3016861 이슈 현재 일본에서 엄청 욕먹고 있는 야구선수 46 04:04 9,419
3016860 유머 가족을 매일 긴장하게 만드는 아빠 13 04:00 3,779
3016859 이슈 대기업들 회사 안에 ㄹㅇ 카페 있음? 19 03:48 5,780
3016858 이슈 옷감의 재질 표현이 사실적이라 유명한 화가 31 03:33 4,623