감사하게 이번에 바비브라운 웨이트리스 스킨 쿠션 이벤트에 당첨이 되어 쿠션을 써볼 기회가 생겼어🥰
첫 리뷰라서 서툰게 많겠지만 잘 봐줘

첫 케이스를 봤을때 인상은 이쁘다였어!
사진으로도 봤지만 실제로 보니 무광 쿠션케이스에 뮈늬가 새겨져있는데 더 이쁘고 깔끔해 보여서 더 마음에 들었어
개인적으로 케이스에 지문 묻는걸 싫어하는데 티가 안나고 튼튼해 보여서 밖에 가지고 다니기에도 좋을거같아.

이벤트 소개글에도 있었지만 안쪽 내용물은 동그랗게 조금 올라와있고 메쉬망이 씌어져있는 형태였어.
난 이제까지 스펀지에 내용물이 흡수된거만 사용해봤는데 막상 보니 더 새롭더라.
쿠션퍼프에 묻힐때도 많은양이 안묻고 얼굴에 바를때도 괜찮아 편하게 사용할수 있었어!

색상은 15호 미디엄 알라바스터를 받았는데 난 원래 21호를 사용하고 있어서 좀 많이 밝지 않을까 걱정했었어
팔 안쪽에 발랐을땐 좀 밝은가? 싶은 정도로 밝은 느낌이었는데 막상 얼굴에 올리고 얇게 바르니 화사해지는 정도라 괜찮았어
아마 겨울이라 좀더 괜찮았던거 같긴하지만 얼굴이랑 목 톤이 너무 차이나진 않아서 만족했어😊
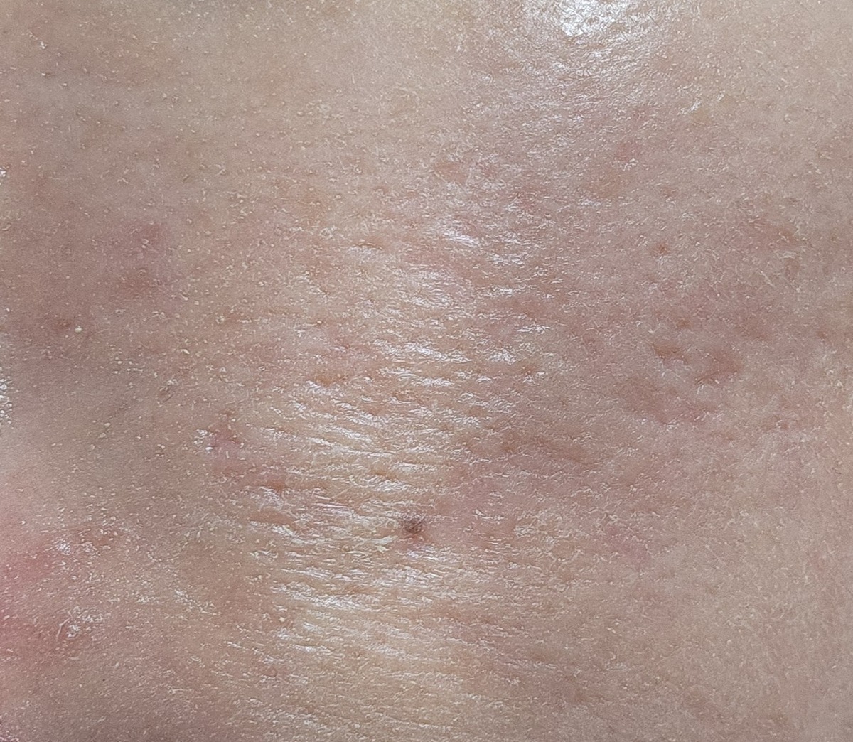
일단 내 피부는 수부지에 예민한 피부야.
여드름도 어릴때부터 많이 있었고 지금도 성인여드름이 있어 붉은기, 흉터, 모공도 많은 상태야😭
그만큼 화장이 잘 먹지 않고 잘못하면 더 피부가 안좋아 보일수도 있어 요즘은 두껍게 화장을 안하고 가볍게 쿠션이나 비비를 얇게 도포해서 다니고 있는 중이었어.
처음 발랐을때는 피부가 이쁘게 표현되서 좋았어💕
세미메트라는 소개처럼 살짝 광은 돌지만 끈적이지 않아 좋았어.
모공도 은근 잘 메워주고 붉은기도 잘 잡아줬어!
9시간정도 마스크를 끼고 일한 뒤 화장남은 상태야!
마스크를 끼고 처음부터 많이 바르진 않아서 많이 날라가 있어.
모공 사이사이에 모공끼임도 일부 있는데 확대해서 크게 보이는데 막상 눈으로볼땐 괜찮았어

이건 그 위에 쿠션을 한번 더 바로 덧발라 수정화장 한거야!
처음 발랐을때보단 이쁘게 발리진 않지만 바로 쿠션을 올렸는데 이정도면 난 만족했어🥰
내 원래 피부가 안좋기도하고 각질이 잘 올라와서 다른쿠션들은 이거보다 더 지저분하게 올라가는거도 많았거든.
사진상으로 더 강조되어 보이는거도 있어서 실제로 봤을땐 수정화장도 잘되어 만족스러웠어~
좋은 기회로 바비브라운 웨이트리스 스킨 쿠션을 사용해볼수있어 좋았어😍
난 이 쿠션을 계속 잘 사용할거같아!