오프온으로부터 제품을 무상으로 지원받아 작성된 후기입니다.
오프온 바디워시가 그렇게 좋다길래 장바구니에 넣어놓고 있었는데
이렇게 좋은 기회로 바디로션을 써볼 수 있다니!!
너무나도 영광이였음!!

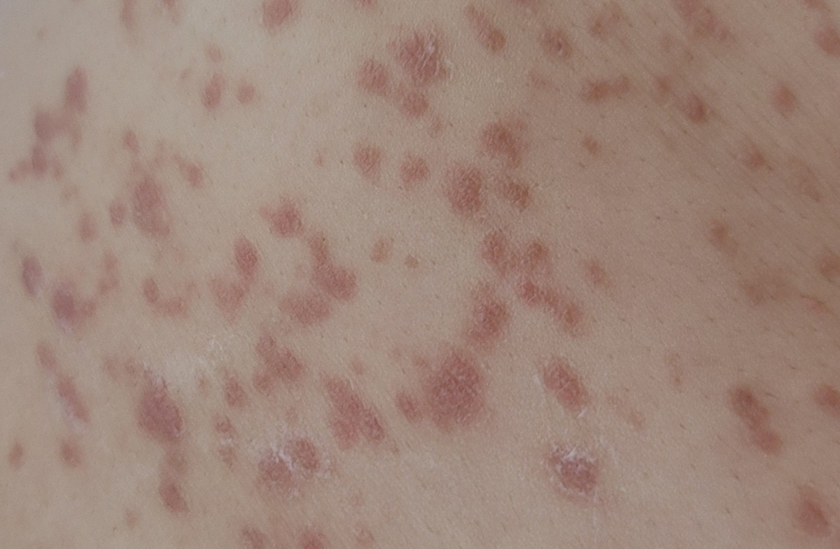
난 물방울 건선이 생긴지 1년 되었고
심해진건 작년 1~4월까지 최고조 지금은 작년여름부터 관리해서
몸에 2~4개 정도로 자잘하게 나왔다가 생겼다가 하면서
보습 관리하고 있어!!

작년 여름부터 보습 루틴은
티트리 미스트로 바디에 흥건하게 적시고,
바디로션 가벼운거 온몸에 바르고,
바디로션 무거운거 온몸에 발라서 말리기였음!!

여기서 중간중간 김정문 알로에밤 건선부위에 덧바르거나
무거운 바디로션 샥샥 더 겹쳐서 바르기여서
바디로션이 잘 흡수될 때까지 겹쳐바르기인데
이게 바디로션 바르면 알겠지만 하얗게 잔상이 남으면서
찰싹찰싹 두드려야 흡수될때가 많어 그래서 겹치기가 어려운데
내가 진짜 바디로션 이것저것 다 써봤거든...ㅠㅠ
그 잔상 안남고, 향 안쎄고, 겹쳐발라도 흡수잘되어서
금방 잠옷입고 잘 수 있는거 찾고있어..아직도ㅠㅠ
로션 제형 무거운 것만 남아서 돌려가면서 겹쳐바르기 중인데
오프온은 그 잔상이 몸에 안남더라?
이게 넓게 바르다 보니까(가슴~어깨부위, 등짝~옆구리부위 등)
잔상이 남아서 챱챱챱 두드려서 흡수하고 끈적한거 보송해질때까지
팔다리 벌리고 서있던 매일 밤이였음..ㅠㅠ
근데 오프온은 그 잔상이 없더라
신기해서 3번 정도 겹쳐 발랐는데도 잔상없이 스윽 흡수됨
하 그 잔상이 사진으로 안보여서 아쉬운데 그 알거야 로션 허옇게 뜨는거
일단 그게 없고, 향이 뭐라해야하나 롤링향수마냥 잠깐 났다가
사라져서 온몸에 발라도 코 안아프고 머리도 안어지러워
❤️ 판테놀 함유로 피부 장벽 케어
❤️ 시어버터 · 호호바오일로 수분 보호막 형성
❤️ 6가지 천연 보습 인자로 보습 유지력 강화
❤️ 끈적임 없이 흡수되는 실키 벨벳 제형
❤️ 알러젠 프리 향료, 은은한 플로럴 머스크 향
첫째, 판테놀?진짜 좋은 성분이고 귀하다,,
둘째, 바디로션은 첫째도 보습, 둘째도 보습임
셋째, 끈적임 없는게 최고,,
바디워시로만 알고 있었는데(건선으로 건조해지면 바디워시말고 물샤워 얼른하고 보습해야하는데 로션을 하도 바르니까 이걸 지워주고 다시 발라야 할 것 같아서 바디워시만 찾고 있었음)
바디로션이 너무 흡족해서 지금 쓰는 다른 로션들 비우면
오프온으로 좀 고정해서 써보려고

일단 3~40분씩 바디로션 겹쳐바르는게 오프온쓸때는
20분 정도로 시간 확 줄고(바른 직후 보송함이 좀 다름)
잔상이 안남으니까 로션바르는 소리도 안나고(집에 누구 있는데 로션 바를때마다 찰쌉찰싹 철썩 소리울리면...좀 창피하고...약간 서러움)
너무너무 만족함 진짜로
바디로션 이런 체험이 너무 귀해서 최대한 오래쓰다가
마지막날 후기올려,, 당첨되게해줘서 고마워~~!!
좋은 로션 찾은 것 같아 만족만족°!