theqoo

사랑니 갤러리의 고통난이도上 사랑니들.jpg

무명의 더쿠 | 21:36 | 조회 수 1697

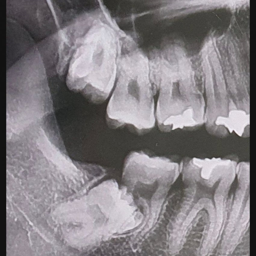
1. 

slJdmo
자초지종은 사랑니로 난다긴다 하는 치과 5곳 발품 팔았는데 이건 큰병원 가야한다고 빠꾸먹고 대학병원가서 전신마취하고 매복 사랑니 4개를 한번에 뽑을줄도 몰랐다 지금은 발치 후 2주정도 지나서 밥도 잘먹고 하는데 아직도 턱주가리가 욱신거린다.

발치 전 사진인데

보이는거 처럼 매복도 깊고 옆으로 ㅈ같이 누워있어서 의사쌤도 이따구로 생긴 사랑니는 근래에 처음본다 하셨다 

또 굳이 뽑아야겠냐 물어보셨다

 

그리고 아래 사랑니가 턱뼈 지나는 신경이랑 따악 붙어있어

이거 잘못 건드리면 평생 혀나 입술, 턱쪽에 감각이 마비되서 안면이 장애가 생길 수 있다고 하셨음

순간 나는 전생에 왜적이었나 싶은 생각이 씨게 들었다. 

 

2.
LvMVjl

elWeRe

 

3.

BWoLNe
서울대 병원가서 뽑음.

iubeNm

4.

HKhJHT

LIsBSt

5.

fSsyLx
위에는 별거 아닌거 같은데 아래 2개는 빡세보여서....
pxUXwF

6.

DsQOzv

kNOTGM

7.

eDwdSk

xTIOgC

 

[주의] 이 글을 신고합니다.

  • 댓글 11
목록
0
카카오톡 공유 보내기 버튼 URL 복사 버튼
댓글 더 보기
새 댓글 확인하기
  • [에뛰드] 💕뛰드공주 컬렉션💕 ‘마이 쁘띠 팔레트’ 체험 (50인) 613
  • 3/25(수) 일시적인 접속 장애 안내
  • [공지] 언금 공지 해제
  • 📢📢【매우중요】 비밀번호 변경 권장 (현재 팝업 알림중)
  • 공지가 길다면 한번씩 눌러서 읽어주시면 됩니다.
  • ◤더쿠 이용 규칙◢ [스퀘어 정치글은 정치 카테고리에]
  • [스퀘어게시판 정치 카테고리 추가 및 정치 제외 기능 추가]
  • 더쿠 모바일에서 유튜브 링크 올릴때 주의할 점 783
  • 나는 더쿠에서 움짤을 한 번이라도 올려본 적이 있다 🙋‍♀️ 268
  • 더쿠에 쉽게 동영상을 올려보자 ! 3604
  • 슬기로운 더쿠생활 : 더쿠 이용팁 4018
  • ◤스퀘어 공지◢ [9. 스퀘어 저격판 사용 금지(무통보 차단임)] 1236
  • 모든 공지 확인하기()
    • 방금 더쿠 서버 망가졌을때 케톡 상태.jpg
    • 23:08
    • 조회 1173
    • 유머
    13
    • 안성재 유튜브에 나온 김고은 눈웃음
    • 23:06
    • 조회 628
    • 이슈
    • 📢 아이브 IVE WORLD TOUR <SHOW WHAT I AM> is coming to a city near you. Don’t miss it! ✨
    • 23:06
    • 조회 141
    • 이슈
    4
    • 에스파 지젤 비주얼
    • 23:05
    • 조회 278
    • 이슈
    • 와일드바디 민초단 후기
    • 23:05
    • 조회 446
    • 유머
    4
    • 몬스타엑스 MONSTA X 미국앨범 《 𝑼𝒏𝒇𝒐𝒍𝒅 》 컨셉포토 HEAL VER. 주헌 아이엠
    • 23:04
    • 조회 96
    • 이슈
    4
    • '올림픽 최다 메달' 최민정, 유재석보다 손종원 "동그란 눈으로 살펴줘"('라디오스타')[순간포착]
    • 23:04
    • 조회 324
    • 기사/뉴스
    1
    • [단독] 홍서범·조갑경 부부 아들, 결혼 생활 중 '외도' … 법원, 3천만 원 배상 명령
    • 23:02
    • 조회 1523
    • 기사/뉴스
    18
    • 유지태 "멜로 안하는 이유가 ♥김효진 때문? 미화됐다" 웃음 (유퀴즈)
    • 23:02
    • 조회 618
    • 기사/뉴스
    4
    • 톰홀랜드 하는 말마다 빵터져서 밈된 젠데이아
    • 23:01
    • 조회 1728
    • 이슈
    13
    • 세상 진지하게 공기놀이 하는 엑소
    • 23:01
    • 조회 255
    • 이슈
    3
    • 🍗현재 KFC 이벤트[치킨 1조각] (~30日)🍗
    • 23:00
    • 조회 682
    • 정보
    2
    • 10년 전 오늘 발매된_ "D (Half Moon)"
    • 23:00
    • 조회 43
    • 이슈
    • KF-21 양산1호기 출고…“전투기 국산화 과제 완수”
    • 23:00
    • 조회 100
    • 정치
    3
    • 성인식 추는 막내 이서 지켜보는 아이브 언니들 리액션.twt
    • 22:58
    • 조회 515
    • 이슈
    1
    • 오랜만에 오늘 재회한 배우 신혜선×홍경
    • 22:58
    • 조회 931
    • 이슈
    3
    • 동성결혼한다고 냅다 지른 딸에게 보수적인 답변을 한 엄마
    • 22:57
    • 조회 1966
    • 유머
    18
    • 🐥선생님! 저희 집에 놀러오세용 🎵
    • 22:54
    • 조회 400
    • 유머
    3
    • [속보] 러 "일본이 우크라에 살상무기 공급하면 강력 보복"
    • 22:54
    • 조회 1359
    • 기사/뉴스
    19
    • 왕사남 흥행 최대 피해자 = 유퀴즈 자막팀 ㅋㅋ
    • 22:54
    • 조회 2342
    • 유머
    11
back to top